

Një djalë i ri rrezikoi që të humbte jetën, si pasojë e një infeksioni të rëndë të shkaktuar nga shkopinjtë me pambuk që përdoren për pastrimin e veshëve.
Historia e të riut 31-vjeçar vjen nga Britania e Madhe dhe rasti i tij raportohet nga revista shkencore ‘British Medical Journal Case Reports’.
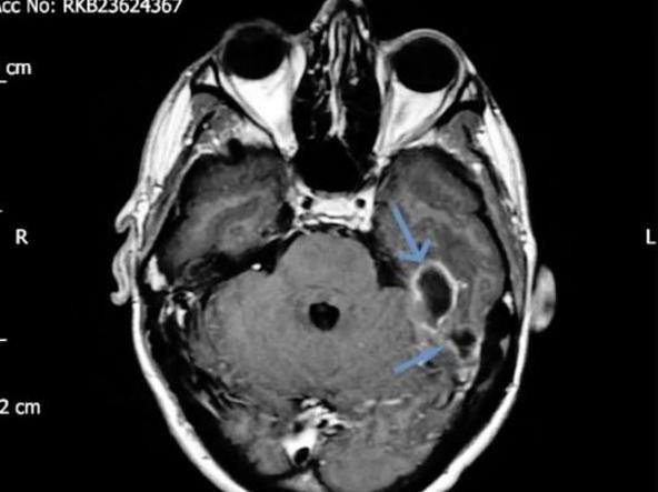
I riu rrezikoi jetën, pasi një pjesë e shkopit me pambukun, i ngeli në kanalin e dëgjimit. Ai nisi të ndjente fillimisht dhimbje në veshin e majtë dhe më tej pas dhjetë ditësh, nisi të kishte dhimbje koke, të përziera dhe të vjella si dhe nuk mbante mend emrat e njerëzve.
Në fakt dhimbjet e veshit për të nuk ishin të panjohura, për shkak se gjatë pesë viteve të fundit kishte vuajtur nga dhimbjet në veshin e majtë, kishte humbur dëgjimin dhe dy herë me radhë ishte trajtuar për infeksion të rëndë.
31-vjeçari u shtrua me urgjencë në spitalin e Coventry, ku bëri rezonancë, skaner dhe kontrolle të detajuara, deri sa u bë zbulimi i rëndë, shkruan noa.al.
Kështu ai iu nënshtrua një ndërhyrje kirurgjikale gjatë së cilës iu hoq një pjesë e shkopit, e cila mendohet se kishte vite e bllokuar dhe për pasojë, i shkaktonte probleme.
Në rast të vonimit të mëtejshëm të trajtimit, sipas mjekëve, i riu mund të kishte gjetur dhe vdekjen. /a.y/noa.al
Bashkohu me kanalin e NOA WhatsApp për lajmet më të fundit direkt në celularin tënd





