
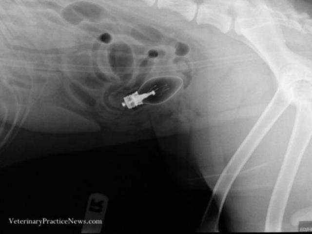
Bretkosa Kermit, me sa duket ka një dëshirë të veçantë për të koleksionuar gurët e çmuar, pasi ka arritur të gëlltisë plotë 30 të tillë. Akrepi Marley ka futur në bark për një herë një shkop qebapi të tërë ndërsa kolegu i tij, danezi Lucky ka përtypur 43 çorape e gjysmë.
Këto janë tre kafshët e para që janë bërë pjesë e konkursit “They ate what?” (Çfarë hanë ata?”), i cili bën të mundur publikimin e fotografive më të veçanta të cilat tregojnë se çfarë kanë brenda tyre kafshët, nëpërmjet rrezeve X. Pamjet janë me të vërtetë mbresëlënëse.
Të gjitha kafshët janë në gjendje shumë të mirë dhe të gjitha objektet e çuditshme që janë gjetur në brendësi të stomakut të tyre janë hequr nëpërmjet operacioneve në klinika të ndryshme të specializuara për kafshët. Shikoni më poshtë të gjitha fotot. /a.s/noa.al
Bashkohu me kanalin e NOA WhatsApp për lajmet më të fundit direkt në celularin tënd





